Foto: Ed Lima Ebomi do terreiro Ilê Axé Opô Aganju, em Salvador, na Bahia, Nancy de Souza e Silva, de 83 anos, é conhecida carinhosamente como...
Batida dançante entra no ar no dia 25 de agosto em todas as plataformas de música, redes sociais e Youtube do funkeiro O funkeiro MC Jacaré...
A cantora Maiara, reconhecida nacionalmente pela dupla com Maraísa, revelou em um vídeo do Instagram que lida com a condição de alopecia. O vídeo, publicado por...
Parceiro de Neymar e Ronaldinho Gaúcho, cantor traz música apaixonada para os corações sertanejos Marcelo Martins, cuja ascensão ao estrelato internacional foi marcada por parcerias memoráveis,...
Após vinte anos de atuação em grandes escritórios de advocacia nacional, os sócios Olímpio Rodrigues, Alexandre Nicoletti e Guilherme Romêo iniciam um novo projeto: o RNR Advogados. O...
O DJ e produtor de funk LS lança nesta quinta-feira, dia 24, o single “Ela Faz Assim”. A faixa marca o início de uma nova fase...
Com mais de 17 cenários, estúdio tem cenografia, infraestrutura e suporte para criação audiovisual Trazendo o conceito dos grandes estúdios de Hollywood, inaugura na próxima sexta-feira,...
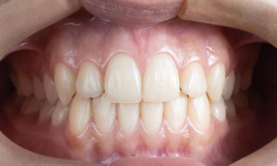
Ciudad del Este é conhecida por suas diversas opções de compras e turismo, mas também é o lar de uma dentista renomada que está revolucionando os...
Recife, 22 de Agosto — Em um movimento estratégico, a GreenGo Capital, asset especializada em criptoativos e com reconhecimento internacional através da certificação CNAD, anunciou a...
CEO do Instituto Ernesto Neto traz técnicas exclusivas para promover a saúde e bem-estar global Jardim da Penha, Vitória – ES: Ernesto Berto Saraiva Neto é...